Kanser
-
Kondrosarkom Nedir? Belirtileri, Nedenleri, Tedavisi
Kondrosarkom (chondrosarcoma), kıkırdak hücrelerinde başlayan ve çevresindeki kemik dokusuna yayılan nadir görülen bir malign (kanserli) tümör türüdür. Kemik hücrelerinden kaynaklanan…
Devamı » -
Akciğer Metastazı Nedir? Belirtileri, Nedenleri, Tedavisi
Akciğer metastazı (lung metastases), vücudun başka bir bölümünde başlayan ve akciğerlere yayılan kanserdir. Bazen ikincil akciğer kanseri veya metastatik akciğer…
Devamı » -
Karaciğer Metastazı Nedir? Belirtileri, Nedenleri, Tedavisi
Karaciğer metastazı (liver metastases), vücudun başka bir bölümünde başlayan ve karaciğere yayılan kanserdir. Bazen ikincil karaciğer kanseri veya metastatik karaciğer…
Devamı » -
Kemik Metastazı Nedir? Belirtileri, Nedenleri, Tedavisi
Kemik metastazı (bone metastases), vücudun başka bir bölümünde başlayan ve kemiğe sıçrayan kanserdir. Bazen ikincil kemik kanseri veya metastatik kemik…
Devamı » -
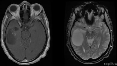
Beyin Metastazı Nedir? Belirtileri, Nedenleri, Tedavisi
Beyin metastazı (brain metastases), vücudun başka bir bölümünde başlayan ve beyne yayılan kanserdir. Beyin metastazı bazen ikincil beyin kanseri veya…
Devamı » -
Mezotelyoma Nedir? Belirtileri, Nedenleri, Tedavisi
Mezotelyoma (mesothelioma), iç organların çoğunu kaplayan ince doku tabakasında (mezotelyum) meydana gelen bir kanser türüdür. Malign mezotelyoma olarak da bilinen…
Devamı » -
Akustik Nöroma (Akustik Nörinom) Nedir? Belirtileri, Tedavisi
Akustik nöroma (acoustic neuroma), iç kulağı beyne bağlayan sekizinci kranial (kafa) sinirden kaynaklanan iyi huylu bir beyin tümörüdür. Akustik nöroma…
Devamı » -
Prolaktinoma Nedir? Belirtileri, Nedenleri, Tedavisi
Prolaktinoma (prolactinoma), aşırı miktarda prolaktin hormonu üreten iyi huylu (kanserli olmayan) bir hipofiz tümörü (adenom) türüdür. Prolaktinoma, en sık görülen…
Devamı » -
Menenjiom Nedir? Belirtileri, Nedenleri, Tedavisi
Menenjiom (meningioma), beyin ve omuriliği kaplayan koruyucu zarlar olan meninkslerden büyüyen bir tümördür. Çoğu menenjiom iyi huyludur (kanser değildir) ve…
Devamı » -
Oligodendroglioma Nedir? Belirtileri, Nedenleri, Tedavisi
Oligodendroglioma, beyinde veya omurilikte oluşabilen nadir bir tümördür. Oligodendrogliomalar, oligodendrositler adı verilen glial hücrelerde başlayan bir glioma türüdür. Oligodendrositler sinirleri…
Devamı »









