Medulloblastom Nedir? Belirtileri, Nedenleri, Tedavisi
Medulloblastom (medulloblastoma), beyincik (serebellum) adı verilen beynin alt arka kısmında başlayan kanserli (kötü huylu) bir beyin tümörüdür.
Medulloblastom, doğumdan sonra beyinde kalan embriyonik (fetal) hücrelerde başlayan bir tür embriyonal tümördür.
Beyincik (serebellum), beynin denge, koordinasyon ve diğer karmaşık motor fonksiyonlarını kontrol eden bölümüdür. Medulloblastomlar en sık serebellumun orta kısmında ve daha az sıklıkla serebellumun dış kısımlarında büyür.
Medulloblastomlar beyin omurilik sıvısı (BOS) yoluyla beyin ve omurilik çevresindeki diğer alanlara yayılma eğilimindedir. Nadir durumlarda kemik iliğine, akciğerlere veya vücudun diğer bölgelerine yayılabilir. Yayılmış tümörlerin görünümü, tek bir yerde kalan tümörlerden daha kötü olma eğilimindedir. (bkz: akciğer metastazı)
Beyindeki herhangi bir tümör beyninizin bir bölümüne baskı yapabilir ve sorunlara neden olabilir. Medulloblastomun belirti ve semptomları baş ağrısı, mide bulantısı, kusma, yorgunluk, baş dönmesi, çift görme, zayıf koordinasyon, dengesiz yürüyüş ve diğer şikayetleri içerebilir.
Bu semptomlar, tümörün kendisiyle ilgili olabilir veya beyindeki basınç artışından kaynaklanabilir.
Tedavi, mümkün olduğunca çok tümörün cerrahi olarak çıkarılması, radyasyon ve ardından kemoterapi (daha büyük çocuklarda ve yetişkinlerde) içerir.
Medulloblastomlar Ne Kadar Yaygındır?
Medulloblastoma, çocukluk çağının en yaygın kötü huylu beyin tümörüdür ve tüm çocukluk çağı beyin tümörlerinin yaklaşık yüzde 20’sini oluşturur.
Medulloblastomlar en sık 3 ila 8 yaş arasındaki çocuklarda görülür, ancak her yaştan çocuk ve yetişkinlerde görülebilir. Erkeklerde kızlara göre biraz daha yaygındır.
Amerika Birleşik Devletleri’nde her yıl teşhis edilen yaklaşık 350 medulloblastoma vakası vardır.
Medulloblastom Tipleri
Medulloblastomalar, Grade (derece) 4 tümörler olarak sınıflandırılır. Bu, kötü huylu (kanserli) ve hızlı büyüdükleri anlamına gelir.
Medulloblastomlar kanser hücrelerindeki gen değişikliklerine göre 4 alt tipe ayrılırlar:
WNT Medulloblastom
Bu, tüm medulloblastomların en iyi bilinen alt grubudur ve hastaların % 10-15’inde tespit edilmiştir. Ortaya çıkma yaşı 10’dur ve daha çok kızlarda görülmektedir.
Bu tümörler genellikle dördüncü ventrikülü işgal eder; arka fossanın (kafatasının arka çukuru) ortasındaki sıvı dolu boşluk.
SHH Medulloblastom
Bu tip medulloblastom sıklıkla hem bebeklerde (3 yaşından küçük) hem de yetişkinlerde (16 yaşından büyük) görülür, ancak 3 ila 16 yaş arasındaki çocuklarda daha az görülür.
SHH medulloblastoma, hücrelerin aşırı aktivasyonuna neden olan ve bir tümör oluşumuna yol açan bir gen mutasyonu nedeniyle, genellikle Gorlin sendromu olarak bilinen bir durumla ilişkilidir.
Grup 3 Medulloblastom
Bu tür medulloblastoma erkeklerde kadınlardan daha sık görülür ve en çok 1 ila 10 yaş arasındaki küçük çocuklarda görülür.
Teşhis anında bunlar genellikle metastatiktir (zaten beynin ve omuriliğin diğer kısımlarına yayılmıştır). WNT medulloblastomalara benzer şekilde, tümör genellikle dördüncü ventrikül içinde yer alır.
Grup 4 Medulloblastom
Bu, tüm vakaların yaklaşık % 35-40’ını oluşturan medulloblastomun en yaygın alt grubudur. Bu tümörler her yaşta ortaya çıkabilir ancak en çok orta çocukluk döneminde görülür.
Medulloblastomun Nedenleri
Çoğu durumda, medulloblastomun nedeni bilinmemektedir. Bazı durumlarda medulloblastomlar, aşağıdakiler de dahil olmak üzere bazı kalıtsal hastalıklarla ilişkilidir:
- Gorlin sendromu
- Turcot sendromu
- Cowden sendromu
- Gardner sendromu
- Li-Fraumeni sendromu
Bunların ve diğer beyin tümörlerinin çoğunlukla bilinen bir neden olmadan ortaya çıktığını anlamak önemlidir. Tümörün gelişmesini engelleyecek yapabileceğiniz veya yapmaktan kaçınabileceğiniz hiçbir şey yoktur.
Medulloblastoma İçin Kimler Risk Altındadır?
Medulloblastoma, çocuklarda ve genç yetişkinlerde daha yaygındır. Bu rahatsızlığı olan birkaç kişide, kalıtsal bir bozukluğa bir bağlantı vardır. Ancak çoğu insanda, bilinen bir kalıtsal risk yoktur.
Araştırmacılar, riski ve olası tedavileri daha iyi anlamak umuduyla aktif olarak medulloblastomun genetiğini anlamaya çalışıyorlar. Medulloblastoma riski şu durumlarda daha yüksektir:
- Çocuk
- Yukarıda listelenenler gibi belirli kalıtsal genetik bozuklukları olan kişiler
- Genç yetişkinler
Medulloblastom Belirtileri
Medulloblastoma semptomları yavaş başlayabilir ve tümör büyüdükçe kötüleşebilir. Baş ağrısı yaygındır. Bazen bir beyin tümörü, beyin omurilik sıvısının (BOS) normal akışını engelleyerek kafa içi basıncının artmasına neden olabilir. Bu baş ağrısı, mide bulantısı, kusma ve baş dönmesine neden olabilir. Tümör sıklıkla beyincikte olduğu için erken dönemde denge ve koordinasyonu etkileyebilir.
Medulloblastoma semptomlarının diğer daha yaygın durumlara veya tıbbi sorunlara benzeyebileceğini unutmayın. Teşhis için daima bir doktora danışın.
Medulloblastomun genel semptomlarından bazıları şunlardır:
- Baş ağrısı (genellikle sabah uyandığında)
- Mide bulantısı ve kusma
- Yorgunluk
- Letarji
- Dengesizlik ve koordinasyon eksikliği
- Motor becerilerle ilgili sorunlar (yazma gibi)
- Yorgunluk ve enerji eksikliği
- Çift görme veya diğer göz problemleri
- İşitme kaybı
- Sinirlilik ve davranış değişiklikleri

Nasıl Teşhis Edilir?
Teşhis süreci genellikle tıbbi geçmişin gözden geçirilmesi ve belirti ve semptomların tartışılmasıyla başlar. Medulloblastomu teşhis etmek için kullanılan testler ve prosedürler şunları içerir:
- Nörolojik muayene: Bu işlem sırasında görme, işitme, denge, koordinasyon ve refleksler test edilir. Bu, beynin hangi bölümünün tümörden etkilenebileceğini belirlemeye yardımcı olur.
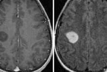
- Görüntüleme testleri: Görüntüleme testleri beyin tümörünün yerini ve boyutunu belirlemeye yardımcı olabilir. Bu testler ayrıca beyin omirilik sıvısı yollarındaki basıncı veya tıkanıklığı belirlemek için çok önemlidir.
Bilgisayarlı tomografi (BT) taraması veya manyetik rezonans görüntüleme (MRG) hemen yapılabilir. Bu testler genellikle beyin tümörlerini teşhis etmek için kullanılır. Perfüzyon MRG ve manyetik rezonans spektroskopi gibi gelişmiş teknikler de kullanılabilir.
- Doku örneği testi (biyopsi): Genellikle biyopsi yapılmaz, ancak görüntüleme testleri medulloblastom için tipik değilse önerilebilir. Şüpheli doku örneği, hücre türlerini belirlemek için bir laboratuarda analiz edilir.
- Test için beyin omurilik sıvısının çıkarılması (lomber ponksiyon): Spinal musluk olarak da adlandırılan bu prosedür, omuriliğin etrafından beyin omurilik sıvısı çekmek için alt omurgadaki iki kemik arasına bir iğne sokmayı içerir. Sıvı, tümör hücrelerini veya diğer anormallikleri aramak için test edilir. Bu test ancak beyindeki basınç yönetildikten veya tümör çıkarıldıktan sonra yapılır.

Medulloblastom Tedavisi
Medulloblastomun tedavisi genellikle ameliyatı takiben radyasyon veya kemoterapi veya her ikisini içerir. Tedavi kararlarında yaş ve genel sağlık, tümör alt tipi ve yeri, tümör derecesi, boyutu ve diğer faktörler rol oynar. Seçenekler şunları içerir:
Beyindeki Sıvı Birikimini Hafifletmek İçin Ameliyat
Medulloblastoma beyin omurilik sıvısının akışını engelleyecek şekilde büyüyebilir ve bu da beyne basınç uygulayan bir sıvı birikmesine (hidrosefali) neden olabilir. Sıvının beyinden dışarı akması için bir yol oluşturmak için cerrahi (eksternal ventriküler drenaj veya ventriküloperitoneal şant) önerilebilir. Bazen bu prosedür, tümörü çıkarmak için ameliyatla birleştirilebilir.
Medulloblastomu Çıkarmak İçin Ameliyat
Bir pediatrik veya yetişkin beyin cerrahı, yakındaki dokuya zarar vermemeye dikkat ederek tümörü çıkarır. Ancak medulloblastoma beynin derinliklerinde kritik yapıların yakınında oluştuğu için bazen tümörü tamamen çıkarmak mümkün değildir. Medulloblastomlu tüm hastalar, kalan hücreleri hedeflemek için ameliyattan sonra ek tedaviler alabilir.
Radyasyon Tedavisi
Bir pediatrik veya yetişkin radyasyon onkolojisi uzmanı, kanser hücrelerini öldürmek için X ışınları veya protonlar gibi yüksek enerjili ışınlar kullanarak beyne ve omuriliğe radyasyon tedavisi uygular.
Kemoterapi
Kemoterapi, tümör hücrelerini öldürmek için ilaçlar kullanır. Tipik olarak, medulloblastomlu çocuklar ve yetişkinler bu ilaçları damara enjeksiyon olarak alırlar (intravenöz kemoterapi).
Kemoterapi, ameliyat veya radyasyon tedavisinden sonra veya belirli durumlarda radyasyon terapisi ile aynı zamanda önerilebilir. Bazı durumlarda, yüksek doz kemoterapi ve ardından kök hücre kurtarma (hastanın kendi kök hücrelerini kullanarak bir kök hücre nakli) kullanılabilir.
Medulloblastomun Olası Komplikasyonları Nelerdir?
Medulloblastom hastalarının çoğu tipik olarak iyi sonuçlara sahiptir. Bazı kişilerde ameliyat veya diğer tedavilere bağlı komplikasyonlar vardır. Bazı durumlarda, tümör tedaviden sonra geri gelir (tekrar eder). Yinelemeyi kontrol etmek için, muhtemelen ameliyattan sonraki haftalarda ve ardından yılda birkaç kez MRG taramalarına ihtiyacınız olacak.
Olası bir komplikasyon, posterior fossa sendromudur. Bu, ameliyat nedeniyle kısa süreli (geçici) beyin hasarıdır. Semptomlar dil, duygular ve hareketle ilgili sorunları içerebilir. Bu haftalarca veya yıllarca sürebilir.
Diğer komplikasyonlar şunları içerebilir:
- Radyasyon tedavisi veya kemoterapi nedeniyle bulantı, kusma ve yorgunluk
- Tekrarlayan tümör
- Kısırlık veya bilişsel değişiklikler gibi radyasyonun yan etkileri
Doktorunuzla tedavi komplikasyonları riski (hem kısa hem de uzun vadeli), genel görünümünüz (prognoz) ve tümörün geri dönme olasılığı hakkında konuşun.
Kaynaklar ve Referanslar:
1: What is a medulloblastoma?
2: About medulloblastoma
3: Medulloblastomas
4: What causes medulloblastoma?