Damak Kanseri Nedir? Belirtileri, Nedenleri, Tedavisi

Damak kanseri (palate cancer), ağzın çatısında bulunan bir karsinomdur. Damak kanseri genellikle ilk olarak ağızda ülser olarak fark edilir. İlk başta ülser ağrısızdır, ancak daha sonra ağrılı hale gelir.

Damak genellikle ağzın çatısı olarak adlandırılır. İki kısma ayrılır: Önde kemikli sert damak ve ağzın arkasında etli yumuşak damak (velum olarak adlandırılır). Sert damak ağız boşluğunun bir parçasıdır ve yumuşak damak orofarenksin bir parçasıdır.

Sert damak ağız ve burun boşluğu arasında bir bariyer oluşturur. Damakta sinirler ve kan damarları için doğal bir açıklık (üçüncü azı dişinin yakınında), tümörün burun boşluğuna yayılması için bir geçiş yolu oluşturabilir.

Yumuşak damak, yutma sırasında burun geçişini kapatır, böylece yiyecekler buruna girmez. Ayrıca konuşma sesleri oluşturmaya yardımcı olur. Konuşma sırasında damak düzgün çalışmıyorsa, burundan hava kaçar ve konuşma burundan ses çıkarır. Hapşırma sırasında, yumuşak damak onu korumak için burun geçişini kapatır. Hapşırmadaki maddeler ağıza atılır.

Damak Kanseri Türleri

Damak kanseri iki tiptir, sert damak kanseri ve yumuşak damak kanseri.

Sert Damak Kanseri

Ağzın çatısındaki kemikli kısımda başlar. Ağzın ön kısmında yer almasına rağmen, aslında baş ve boyun kanseri olarak kabul edilir. (bkz: sert damak kanseri)

Yumuşak Damak Kanseri

Ağzınızın üst kısmında, dişlerinizin hemen arkasında bulunan yumuşak damak hücrelerinde başlar. Yumuşak damak kanseri, sert damak kanserinden farklı olarak bir tür gırtlak kanseridir. (bkz: yumuşak damak kanseri)

Damak Kanserinin Nedenleri ve Risk Faktörleri Nelerdir?

Ağız kanserleri genellikle yaşam tarzı ve alışkanlıkların sonucudur ve damak kanseri farklı değildir. Damak kanserine yol açabilecek risk faktörlerinden bazıları şunlardır:

  • Tütün kullanımı
  • Alkol alımı
  • İnsan papilloma virüsü (HPV) ile enfekte olmak
  • Bağışıklık sisteminizi baskılayan ilaçlar
  • 40 yaşından büyük olmak
  • Kötü beslenme

Bunlarla birlikte ters sigara içimi de sert damak kanseri için bir risk faktörüdür. Ters sigara içiminde sigaranın yanan ucu ağza yerleştirilir. Bu sigara içme tarzı sırasında yoğun ısı üretilir.

Sağlıklı kalmanın en iyi yolu, ilk etapta hastalıkları önlemektir. Tütün ve alkolden kaçınmak veya sınırlamak, sağlıklı beslenmek ve HPV aşısı yaptırmak, kendinizi proaktif olarak korumanın harika yollarıdır.

Damak Kanseri Belirtileri

Herhangi bir belirtiyi erken yakalamak ve hemen kontrol ettirmek, en olumlu sonucu almanın anahtarıdır. Bazı belirtileri gözden geçirelim, böylece nelere dikkat etmeniz gerektiğini bilirsiniz.

Sert damak kanserinin en yaygın belirtisi genellikle ağzın çatısında ülser görünümüdür. Büyüdükçe ülser kanamaya başlayabilir. Diş hekimleri, genellikle rutin muayeneleri sırasında sert damak kanserinin başlangıç ​​belirtilerini ilk fark eden kişilerdir. Bu yüzden düzenli olarak diş muayenesi yaptırdığınızdan emin olun.

Diğer sert damak kanseri belirtileri şunları içerebilir:

  • Ağız kokusu
  • Gevşek dişler veya dişlerinizin etrafında ağrı
  • Artık uymayan protezler
  • Konuşma değişiklikleri
  • Yutma veya çeneyi hareket ettirme zorluğu
  • Boyunda bir yumru
  • Çeneyi açamama (trismus)

Yumuşak damak kanseri, aşağıdakileri içerebilen bazı benzer belirtilere sahiptir:

  • Ağız kokusu
  • Gevşek dişler
  • Kanama
  • Yutma veya konuşma zorluğu
  • Yutma sırasında ağrı
  • Ağız ağrısı ve / veya iyileşmeyen yaralar
  • Kilo kaybı
  • Kulak ağrısı
  • Boynuda şişlik

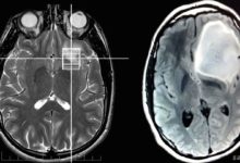
Damak Kanseri Nasıl Teşhis Edilir?

Cerrah damağı ayrıntılı olarak inceleyecektir. Herhangi bir anormal bölgeden bir doku örneği (biyopsi) alınabilir. Bir patolog daha sonra numuneyi mikroskop altında inceleyecektir.

Damak kanseri erken teşhis edilirse tedavi çok başarılıdır. Doktor, kanserin damak dışına yayıldığından şüpheleniliyorsa aşağıdaki görüntüleme prosedürlerini isteyebilir:

  • Kan testleri
  • Tümörün akciğere yayılıp yayılmadığını belirlemek için röntgen veya BT taraması
  • İnce iğne aspirasyon biyopsisi. Ağız içine ince bir iğne yerleştirilir. Hücreler bir şırıngaya emilir ve daha sonra yumrunun kanserli olup olmadığını belirlemek için mikroskop altında incelenir
  • Tümörün vücuttaki yakın dokuları veya diğer organları istila edip etmediğini belirlemek için görüntüleme çalışmaları

Damak Kanseri Tedavisi

Damak kanseri için tedavi gerekiyorsa, bunun için birçok seçenek var. Diğer ağız kanserleri gibi, damak kanserinin hızla ele alınmasını sağlamanın anahtarı erken teşhistir. Bunu yapmak, başarı şansınızı artıracak ve çıkarılmasının çevre dokuya en az zarar vermesini sağlayacaktır.

Tedavi seçenekleri şunları içerir:

Radyasyon Tedavisi

Yoğunluk ayarlı radyasyon tedavisi de dahil olmak üzere radyasyon tedavisi, kanser hücrelerinin bölünmesini durdurur ve tümörün büyümesini yavaşlatır. Radyoterapi ayrıca kanser hücrelerini yok eder ve tümörleri küçültebilir veya ortadan kaldırabilir. Yoğunluk modülasyonlu radyasyon tedavisi, geleneksel radyoterapi tekniklerine göre daha az yan etki ile daha etkili radyasyon dozlarının kullanılmasına izin verir.

Radyasyon tedavisi, beş ila altı haftalık günlük tedavileri içerir.

Kemoterapi

Kemoterapi farklı nedenlerle reçete edilir:

  • Cerrahiye alternatif olarak radyoterapi ile birlikte (kemoradyoterapi denir)
  • Ameliyattan sonra kanserin geri dönme riskini azaltmak için
  • Bir tümörün büyümesini yavaşlatmak ve kanser tedavi edilemediğinde semptomları kontrol etmek (palyatif tedavi)

Kemoradyasyon

Bu, radyasyon tedavisi ve kemoterapinin bir kombinasyonudur. Tek başına veya kemoterapi ile birlikte kullanılan radyasyon tedavisi, yumuşak damağın ve işlevinin korunması için orta veya ileri düzeydeki kanserlerde birincil tedavi yöntemidir. Radyoterapi kemoterapi ve cerrahi ile kombine edilebilir.

Yumuşak Damak Kanseri Tedavisi

Yumuşak damaktaki küçük ve orta büyüklükteki tümörler için lazer mikrocerrahi kullanılır. Cerrah, özel bir alet kullanarak ağız ve burun yoluyla yumuşak damağa bakar. Cerrah tümörü bulduktan sonra, tümörü bölümlere ayırmak için bir lazer kullanılır. Parçalar daha sonra çıkarılır ve bir patolog, hücreleri kanser açısından inceler.

Transoral lazer mikrocerrahi normal dokuları koruyabilir, daha az ağrıya neden olabilir ve konuşma ve yutkunmayı sürdürmeye yardımcı olabilir.

Sert Damak Kanseri Tedavisi

Sert damak kanseri için tercih edilen tedavi cerrahidir. Tümöre en yakın kemik genellikle kanser hücrelerini içerir ve bir kısmının da çıkarılması gerekebilir. Tümör küçükse, eksize edilen (kesilip çıkarılan) alan ameliyattan sonra kapatılabilir.

Tümör büyükse eksize edilen alan kapatılamaz ve ağız çatısındaki açıklığı kapatmak için protez cihaza ihtiyaç duyulur. Ayrıca boyundaki lenf düğümleri etkilenirse, düğümlerin de çıkarılması gerekebilir.


Kaynaklar ve Referanslar:
1: What is cancer of the palate?

onay Bu yazı yalnızca "yüksek kaliteli kaynaklar" referans alınarak yazılmıştır.
YAZAR: Cüneyt Şakar
Genel sağlık, hastalıklar ve sağlıklı yaşam bilgisini erişilebilir ve anlaşılabilir hale getirmeye adamış sertifikalı bir sağlık yazarıdır.
Başa dön tuşu